Mikroskopische Blutanalytik
Hellfeld Blutdiagnostik
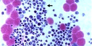
Die Thrombozyten (Blutplättchen) sind als sogenannte Blutplättchen entscheidend an der Blutgerinnung beteiligt. Sie helfen Blutungen zu stoppen, können im ungünstigen Fall aber Agglomerationen bzw. Thromben bilden und so einen Gefäßverschluss auslösen.
Thrombozytopenie (zu wenig Thrombozyten)
bei akuten, chronischen Leukämien, Plasmozytom, Knochen-Metastasen
Thrombozytose (zu viele Thrombozyten)
bei Infektionen, Blutungen, malignen Erkrankungen, Eisenmangel, schweren Anämien

- Intakte Thrombozyten

- Thrombozytenaggregate